Restoring health and beauty at Elim Dental. This smile makeover features esthetic crowns and veneers for a natural, functional result in Mt. Kisco
Case 1

Case 2

Complete smile rejuvenation at Elim Dental. We closed the gaps and replaced old, discolored restorations with custom porcelain veneers and esthetic crowns for a bright, natural result in Mt. Kisco.
Case 3

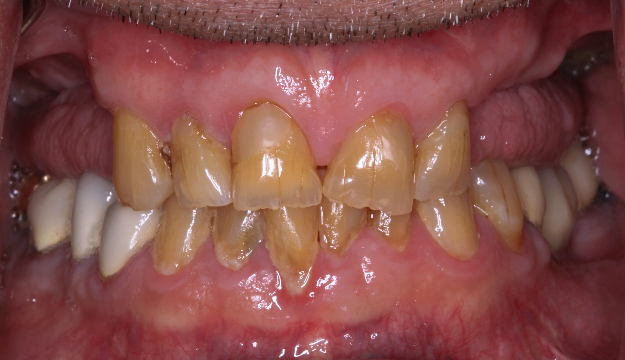
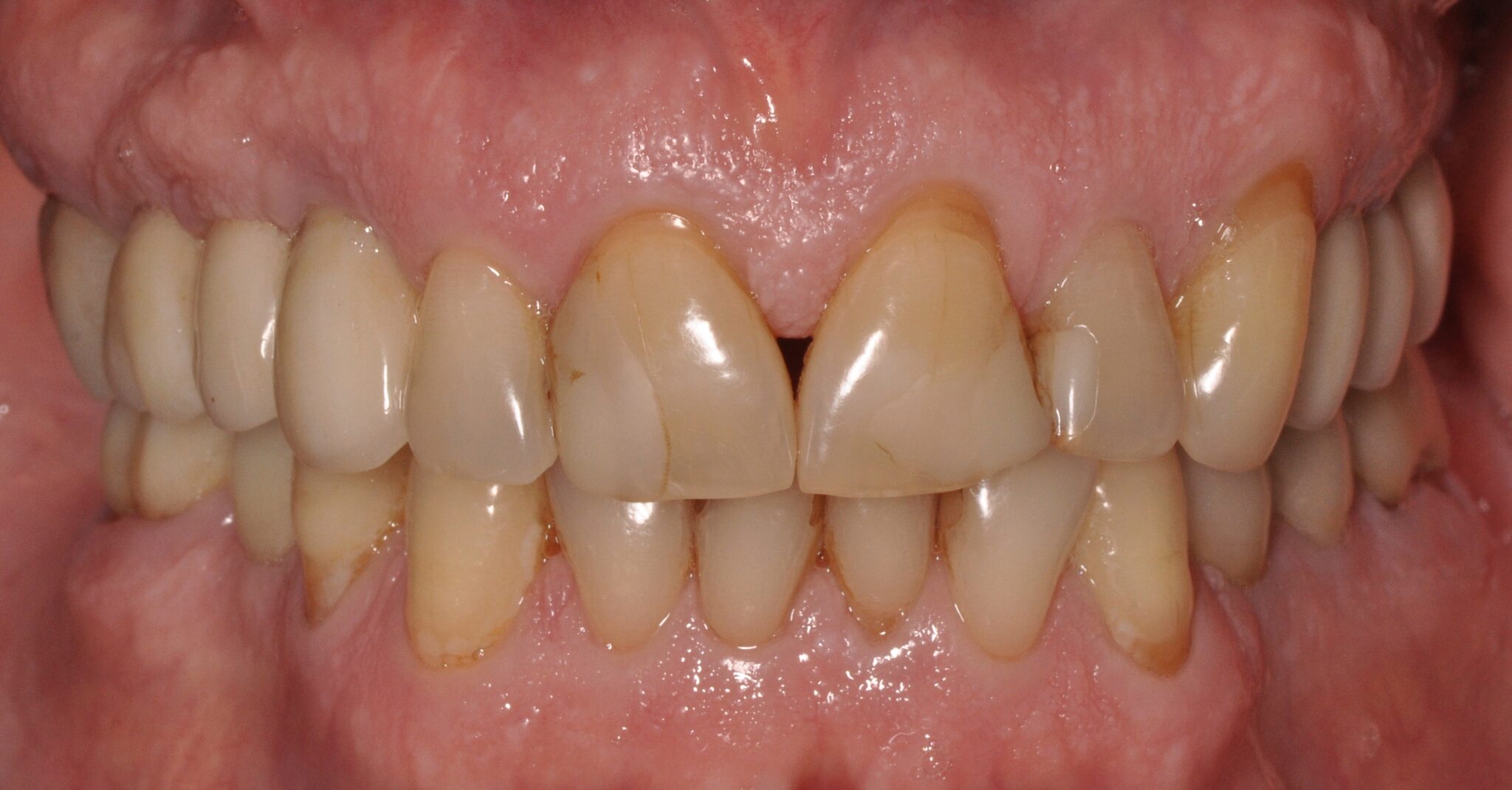
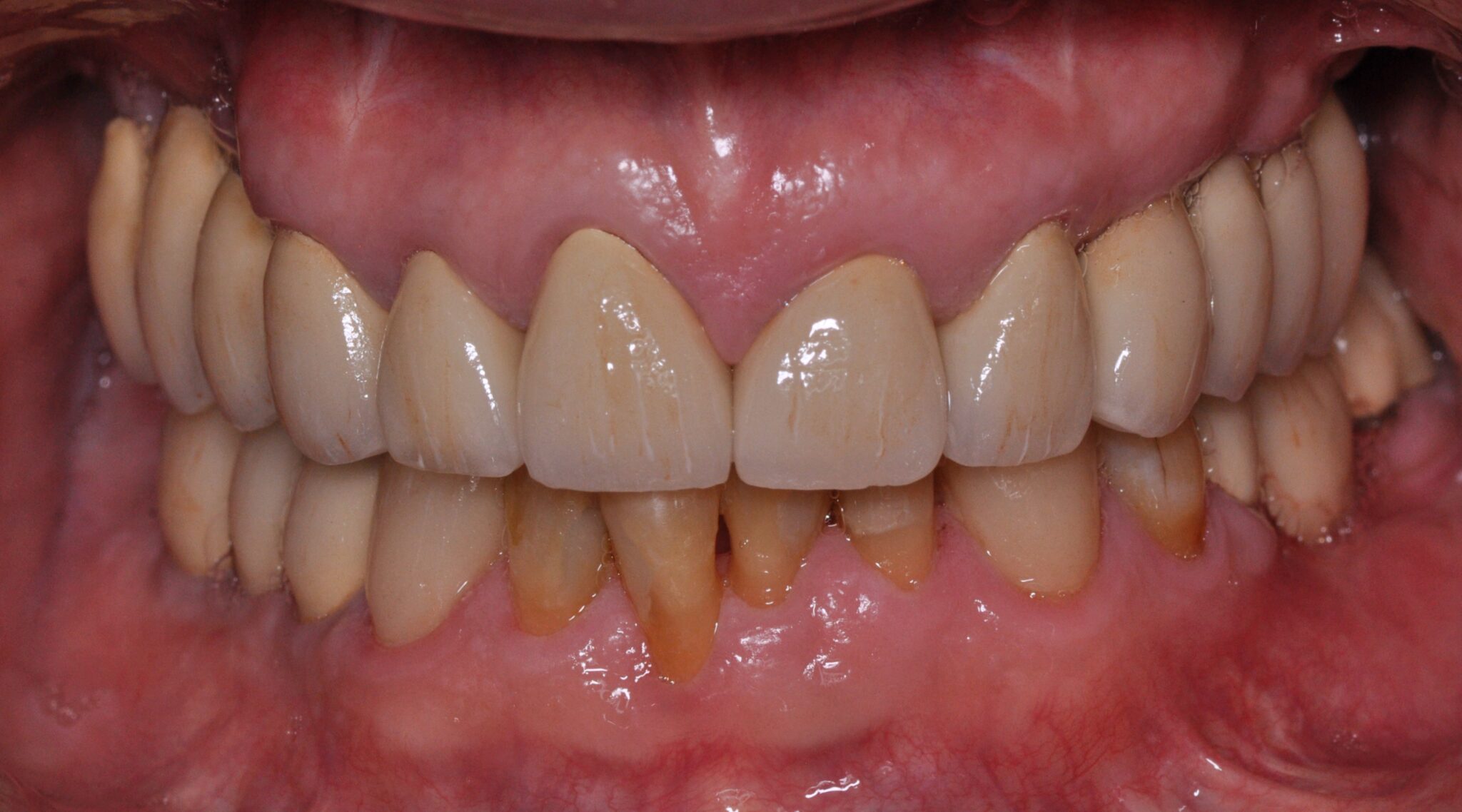
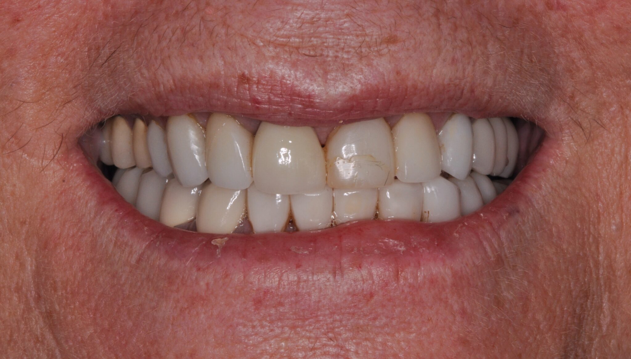
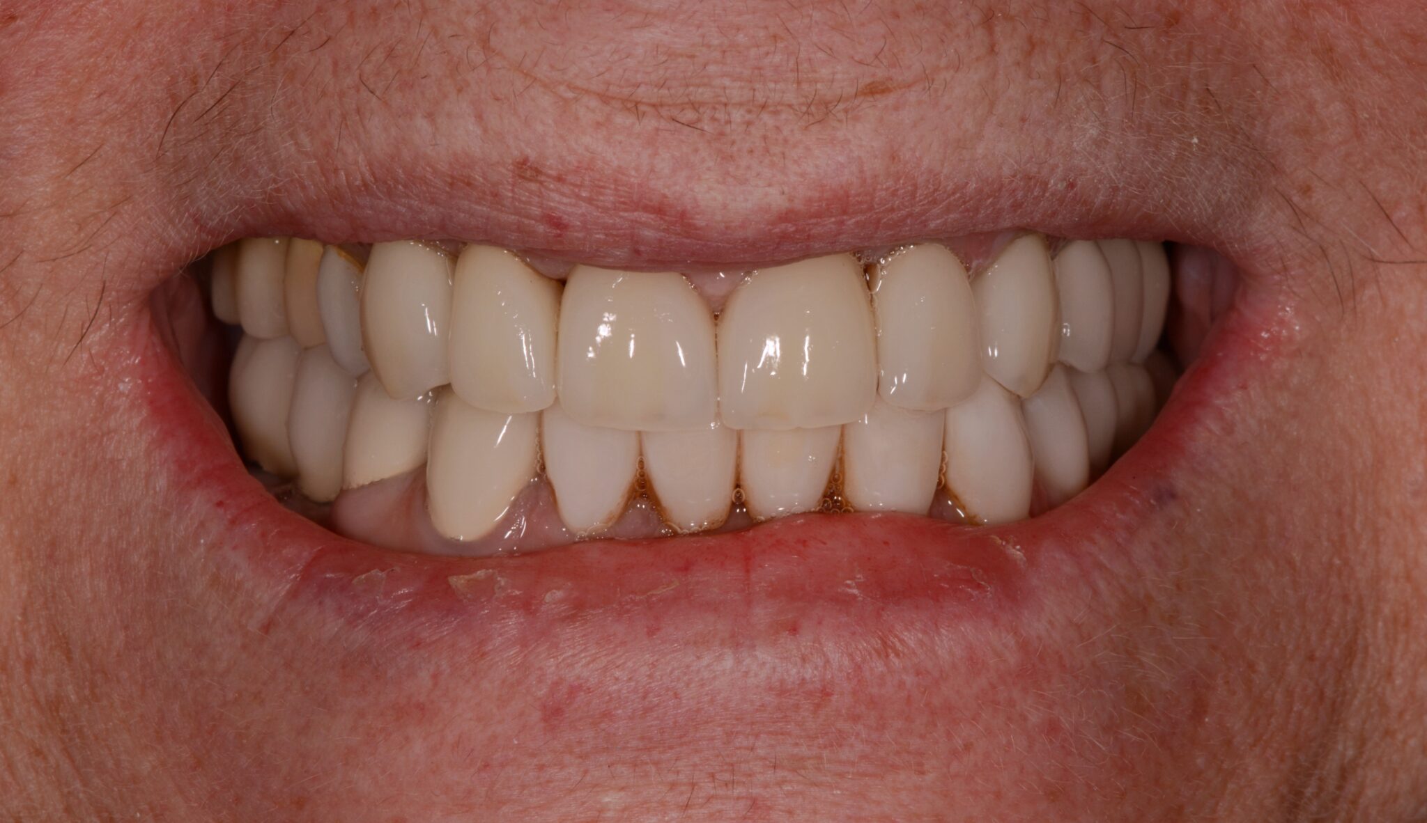
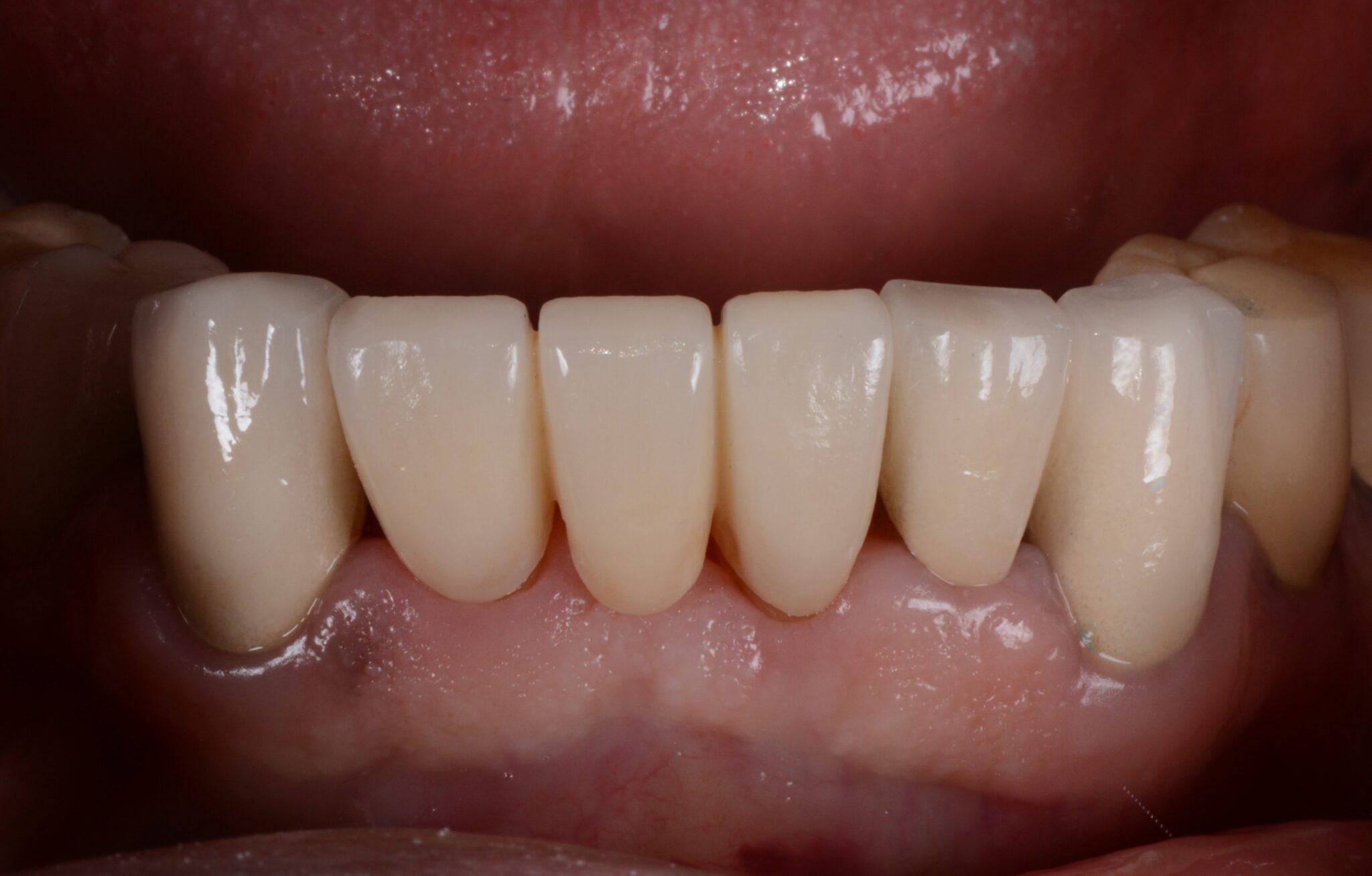
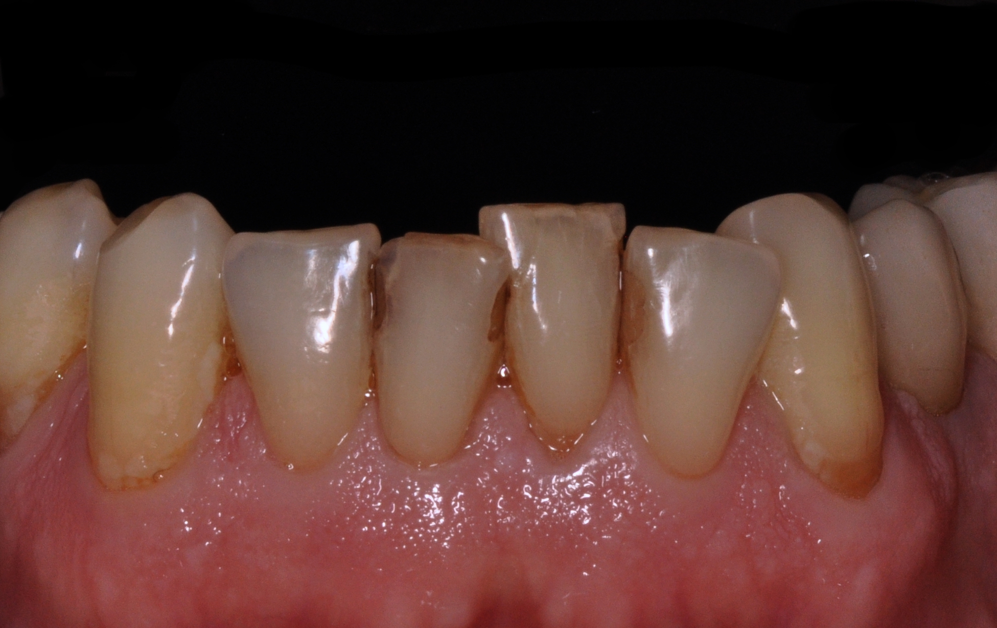
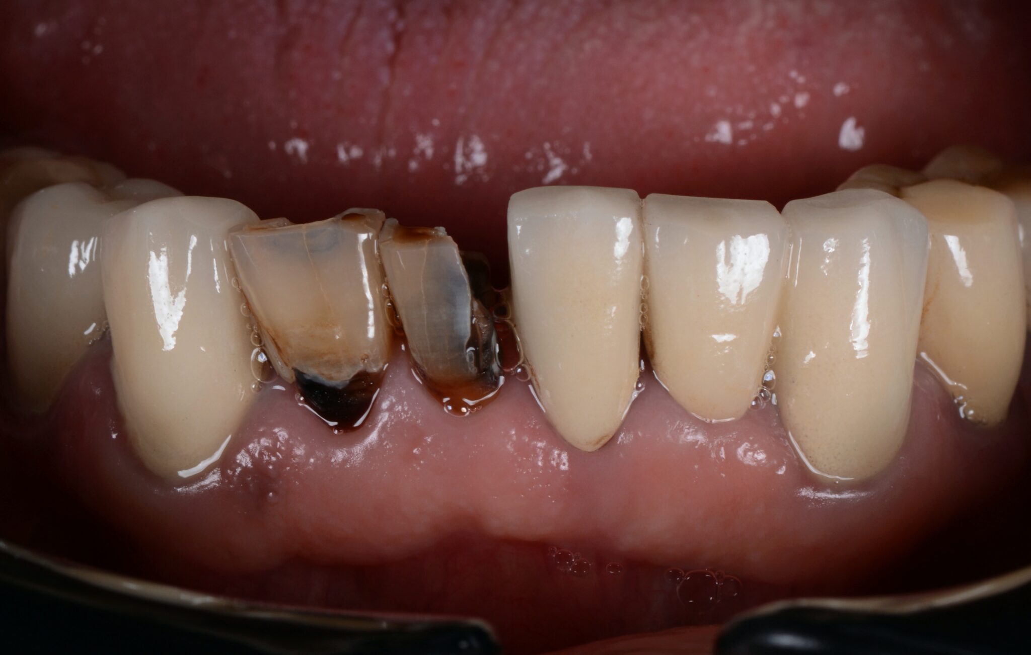
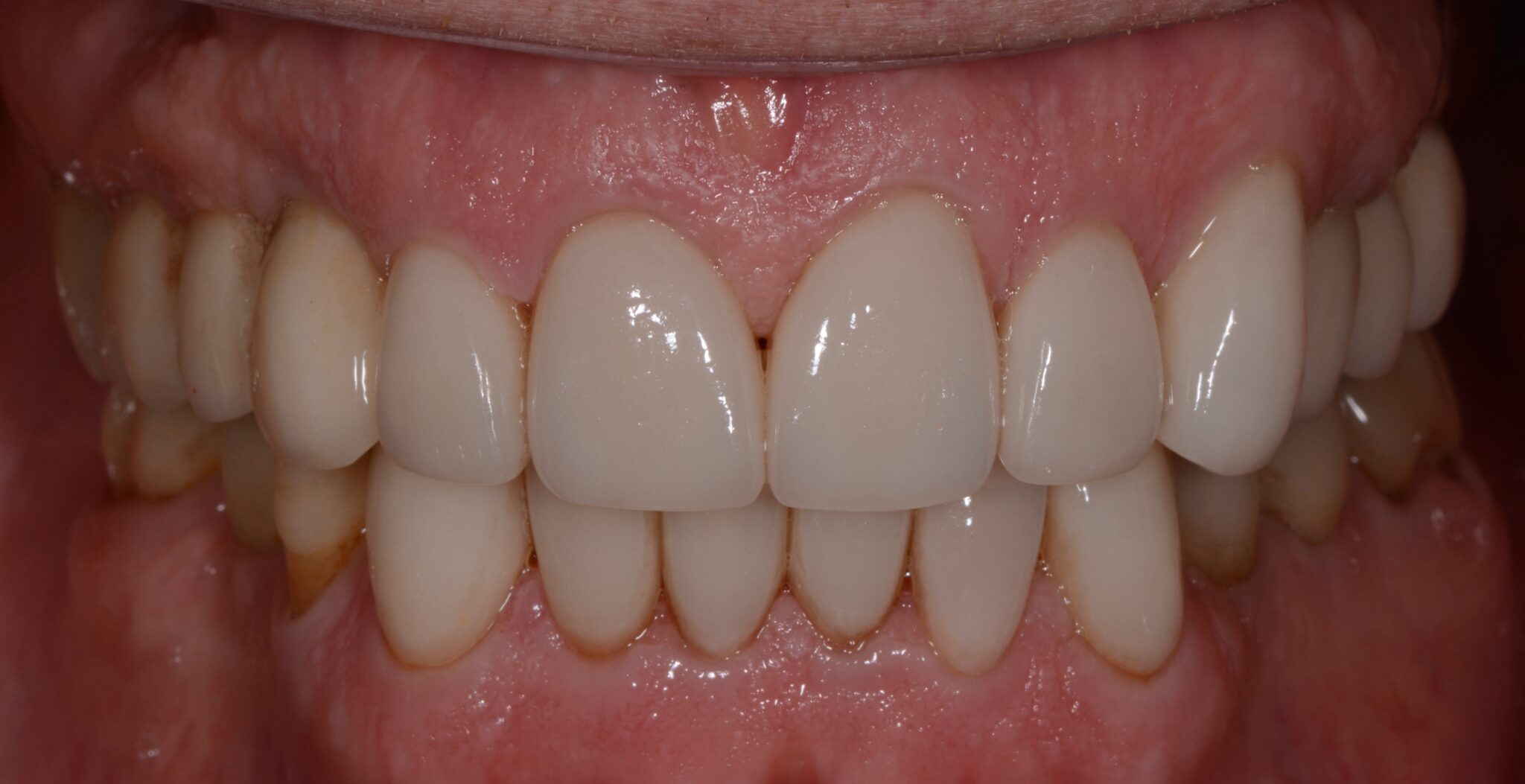
Eliminating decay and discoloration to reveal a radiant new smile. By using high-quality esthetic crowns, we replaced aged, failing dental work with a durable and beautiful result right here in Westchester.
Case 4

Overcoming complex dental challenges with custom implant dentistry. Our All-on-X permanent bridge solution completely revitalized this patient’s smile, offering a secure, beautiful alternative to traditional dentures for long-lasting health in Westchester.
Case 5

A comprehensive cosmetic smile makeover at Elim Dental. We closed the prominent black triangle, corrected severe discoloration, and restored worn edges using a precise combination of porcelain veneers and custom ceramic crowns. The result is a beautifully aligned, bright, and completely natural smile for this Mt. Kisco patient.
Case 6

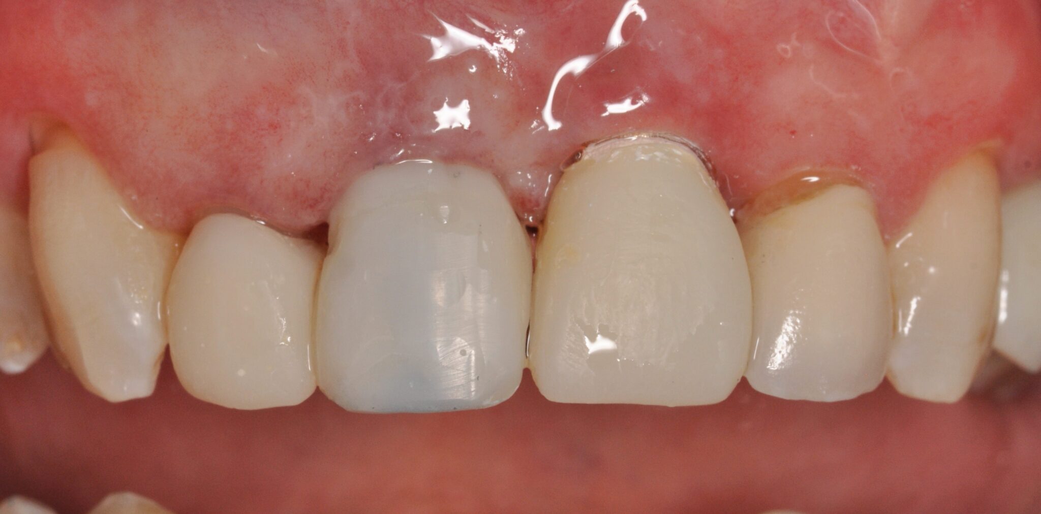
Seamless restoration for missing front teeth at Elim Dental. For this patient, we used specialized dental implants to replace missing lateral incisors in the aesthetic zone. The custom-crafted porcelain implant crowns blend flawlessly with the natural teeth, restoring both a balanced bite and a beautiful smile in Mt. Kisco.
Case 7

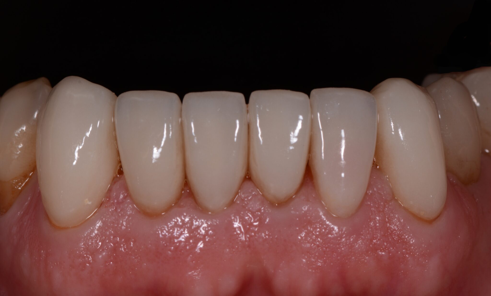
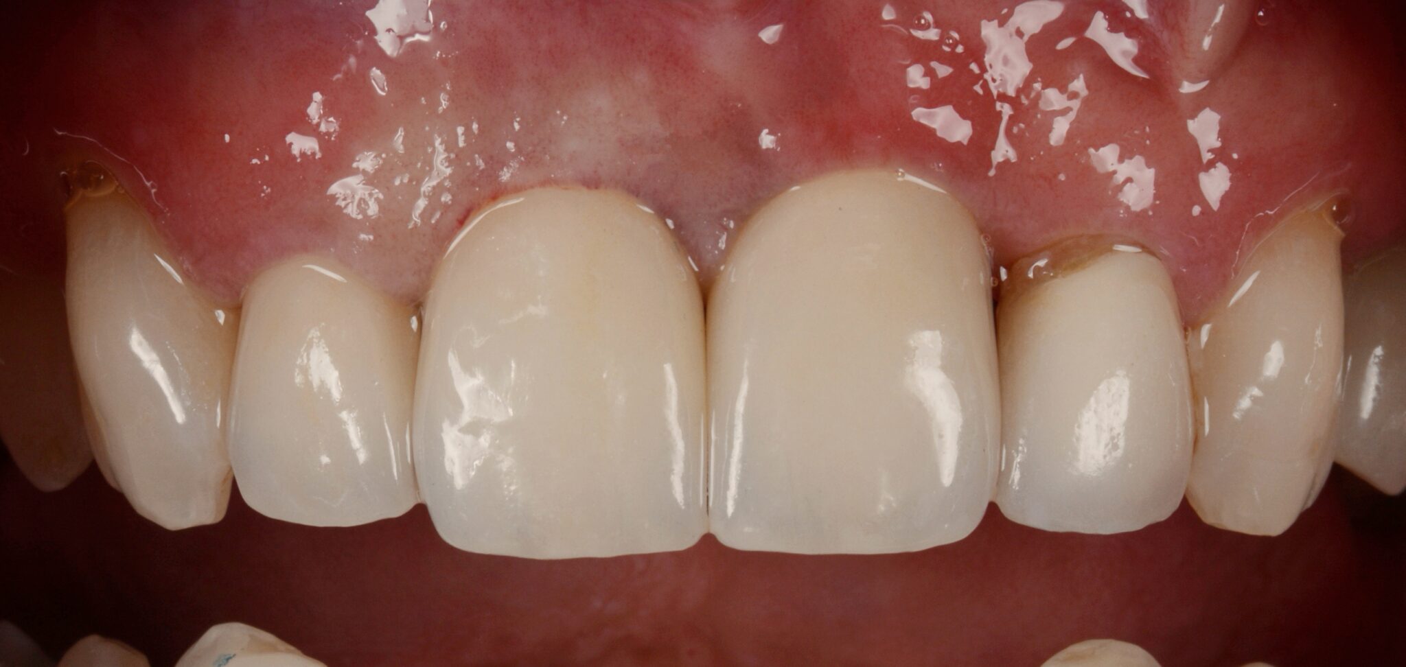
Upgrading outdated dental work to restore a youthful smile at Elim Dental. We replaced this patient’s old, opaque porcelain restorations with new, custom-designed porcelain veneers and crowns. The modern materials provide a bright, lifelike translucency and perfect facial symmetry for a stunning smile makeover in Mt. Kisco.
Case 8

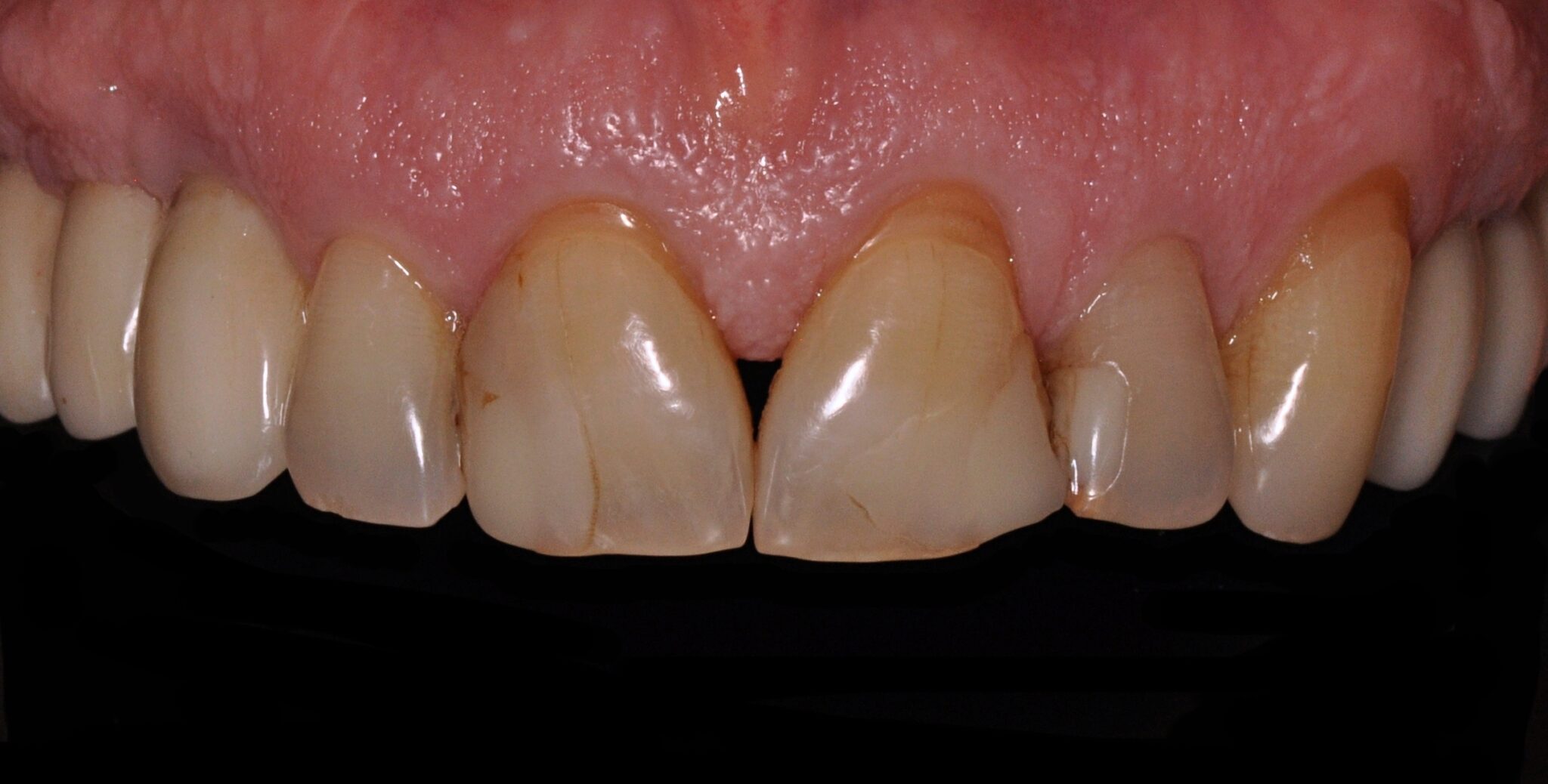
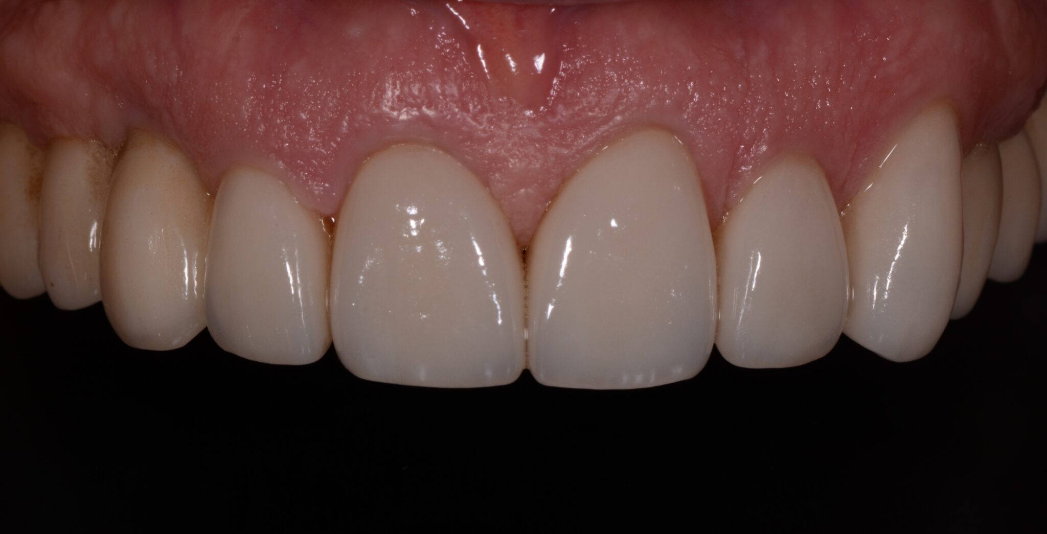
Correcting failed dental bonding and opaque, artificial-looking restorations at Elim Dental. For this patient, severe discoloration and uneven tooth wear were completely transformed using premium porcelain veneers. We replaced the previous flat, fake-looking dental work with highly translucent, custom-shaded veneers that perfectly match natural facial aesthetics for a flawless smile makeover in Westchester.
